Smiling business woman

Cosmetic Dentistry

Are you happy with your oral health but concerned about the look of your smile? Cosmetic dentistry specifically focuses on enhancing the aesthetics of your smile, from addressing dental stains to alignment issues.  At Porter Dental Group, Dr. Charles Porter and Dr. Robert Porter offer cosmetic treatments to improve the smiles of Charlotte, NC, patients.

Your Ideal Smile Is Within Reach

Dr. Porter

Our founding dentist, Dr. Charles Porter, has been providing Charlotte with quality dentistry for more than 25 years.

Feeling self-conscious about your smile can significantly impact your quality of life. There's no reason to delay cosmetic dentistry treatment any longer. 

Dr. Charles Porter and Dr. Robert Porter believe every dental patient deserves a smile they can feel confident in. Our dentists are passionate about providing high-quality dental care that is tailored to your goals. They accept financing through CareCredit® to make cosmetic dentistry more affordable at our Charlotte, NC, practice. With over three decades of combined experience, our dentists have refined their techniques to yield the most flattering results. Request a consultation today!

Call our Charlotte dental practice to get started on your smile transformation: 

(704) 834-1299

Exceptional Care

"Dr. Porter and his staff are top-notch! He has been my dentist for over 10 years and I am always satisfied with his work. He and his staff are unmatched in their skills, professionalism and care for their patients." Kerri G.

Flattering Results

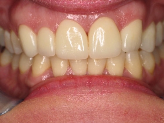
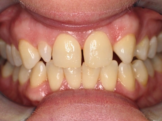
This patient's smile appeared uneven before porcelain veneers. After the cosmetic procedure, their smile appeared more balanced and symmetrical. Each veneer placed by our dentists is carefully crafted to create the ideal shape and shade for your smile.
before porcelain veneers
Before Veneers
After porcelain veneers
After Veneers

We Make It Possible to Afford the Smile You Deserve

Since insurance does not typically cover this type of dentistry, many patients are worried that it is a luxury they cannot afford. However, that is not the case. Several financing options can be applied to your treatment to reduce your overall out-of-pocket cost. In addition to CareCredit®, we also offer in-house financing. Porter Dental Group can also tailor treatment to suit your budget, from more cost-effective materials to an alternative procedure. 

Your Smile Must Be Healthy Before You Can Undergo Cosmetic Care

Before cosmetic treatment, your smile needs to be healthy with no gum disease or cavities. Dr. Charles Porter and Dr. Robert Porter can fix any dental issues efficiently prior to cosmetic dental care, so that your new smile is both beautiful and healthy. Our dentists will evaluate your oral health during your consultation and recommend the best treatment plan for you.

While cosmetic dentistry is dedicated to enhancing the appearance of teeth, general dentistry and restorative dentistry focus on repairing and maintaining oral health. Patients seeking cosmetic care often only need minor treatments such as fillings or gum disease treatment, but if needed, our dentists can provide a comprehensive range of treatments to prepare your smile for a cosmetic upgrade.

Comprehensive Cosmetic Treatment AT OUR CHARLOTTE, NC PRACTICE

Porcelain Veneers

Porcelain veneers are thin ceramic shells that are placed on the front of the teeth to conceal imperfections. Using our in-office CEREC® machine, we can often place same-day veneers.

Learn More About Veneers

Teeth Whitening

Professional teeth whitening treatments are superior to store-bought options because they are stronger and work faster. We offer both in-office and take-home whitening treatments.

Explore Teeth Whitening

Invisalign

Invisalign is a more discreet, more comfortable, and faster alternative to traditional braces, which makes them a popular orthodontic treatment for teen and adult patients.

Discover Invisalign

Dental Implants

Dental implants are often considered to be a cosmetic procedure since they improve the look of your smile by carefully restoring missing teeth.

Learn More About Dental Implants
Teeth in need of dental bonding

Dental Bonding

Dental bonding is a quick and cost-effective procedure where a tooth-colored resin is applied to repair minor imperfections like chipped teeth or a cracked tooth, helping to achieve a beautiful smile.

Dental Crowns

While dental crowns are often used after a filling or root canal procedure to protect the base of your tooth, they can also be used cosmetically to conceal damaged teeth. 

Discover Dental Crowns
Teeth in need of gum contouring

Gum Contouring

Gum contouring is a dental procedure that uses a laser to reshape and sculpt the gumline, displaying more of your teeth and creating a more balanced and aesthetically pleasing smile.

Struggling With Multiple Concerns? Request a Smile Makeover Consultation

Sometimes combining multiple dentistry procedures is the best way to achieve your dream smile. Our dentists can evaluate your smile and the goals you have for it to develop a customized smile makeover plan during a consultation at our Charlotte practice. Call or contact us online to get started on your new smile:

(704) 364-9000

"Services are very professional and thorough." Thanks Charlotte for the Great Reviews

1

Kathy Fletcher

Charlotte, NC

2023

Google logo

Joy is a wonderful, compassionate and gentle dental hygienist. Services are very professional and thorough.

View on Google
1

Good Girl

Charlotte, NC

2023

Google logo

Kim was great for the cleaning. Very sweet and gentle lady. Son Dr Porter was very nice and thorough. Thank you!!!

View on Google

High-Tech Cosmetic Dentistry Detailed Design, Enhanced Precision, & Full Customization
 

Man undergoing whitening treatment

Advanced Teeth Whitening

For in-office whitening treatments, a special light is used by cosmetic dentists to activate and expedite the bleaching process. You can whiten your teeth several shades in a single visit to our Charlotte, NC, office. 

Woman getting 3D imaging with cone beam scanner

Cone Beam CT Scanners

In cosmetic dentistry, cone beam scanners offer invaluable 3D imaging, enabling cosmetic dentists to meticulously plan and execute aesthetic procedures with exceptional precision and quality.

Dr. Porter with patient showing iTero Digital Scanner

iTero Digital Scanner

The iTero digital scanner plays a crucial role at our Charlotte practice by providing precise, non-invasive impressions that help create customized, beautiful smiles for patients with utmost accuracy and comfort.

CEREC machine

CEREC®

With an in-office CEREC machine, our dentists can design and fabricate lifelike porcelain veneersdental crowns, and bridges in just minutes, giving you a new smile in just one visit.

Dental laser

Dental Lasers

Dental lasers have transformed many treatments, such as gum reshaping and tooth recontouring, by allowing cosmetic dentists to increase precision and reduce discomfort. 

Ready to Transform Your Life With Dentistry? Contact Us Today to Learn More

Wondering what dentistry can do for your smile? Contact Porter Dental Group in Charlotte, NC, today for a cosmetic dentistry consultation. During your appointment, one of our dentists will learn more about you and your smile goals and discuss your budget and options. Together, you'll design a treatment plan customized just for you and your smile.

Send us an online message or call us today:

(704) 364-9000

"Absolutely fantastic dental office. Dr. Porter is excellent and 100% committed to giving his patients the highest possible care. Everyone in the office is attentive, friendly, and the best at what they do. I have been a satisfied routine patient for years but a recent accident showed just how skilled and accommodating Dr. Porter and his team are in getting my repair work done. I wouldn't go anywhere else!"

–Robert Phillips, 5-Star Google Review

Giving Patients Teeth Worth Smiling About Beautiful Smile Transformations

Subtle treatments can make a big difference. Prior to treatment, this patient had small gaps and unevenly shaped teeth. Cosmetic dentistry created a stunning smile that looks completely natural. 
Before esthetic dentistry
Before
After esthetic dentistry
After

Cosmetic Dentistry FAQ

What is cosmetic dentistry?

Cosmetic dentistry is a field of dentistry that focuses on the aesthetics of the smile. While some cosmetic treatments, such as crowns, can improve the health of your smile, most cosmetic treatments are designed solely to improve the look of your smile.

What can cosmetic dentistry do?

Cosmetic treatments can conceal cosmetic imperfections such as damaged or discolored teeth as well as uneven gums. Our Charlotte, NC, dentists even offer digital preview software so that you can see what dentistry can do for your smile before you commit to treatment.

What are the pros and cons of cosmetic dentistry?

Pros of cosmetic dentistry include improving the look of your smile, boosting your self-confidence, and experiencing a better quality of life. The biggest con of cosmetic dentistry is the cost of treatment, but our Charlotte dental office offers third-party and in-house financing to make your dream smile a reality.

Is cosmetic dentistry painful?

In general, no, cosmetic dentistry is not painful. Some treatments, like whitening, can even be performed without numbing your smile. For others, our dentists will thoroughly numb the treatment area so that you don't experience any discomfort. If you have particularly sensitive teeth or dental anxiety, our sedation dentistry options can help you relax during treatment. 

Trusted by Patients

"Dr. Porter is a wonderful dentist.
I have been going to him for the last 8 years."
Jim W.
Dr. Porter

Charles A. Porter III, DDS and Robert E. Porter, DDS

Dr. Charles Porter implements the latest developments and highest standards in dentistry. Now working alongside their father, Dr. Robert Porter and Dr. Rebecca Wilson earned their DDS degrees in 2020 and 2024. Our doctors are members of several prestigious organizations, including the:

  • American Dental Association
  • Academy of General Dentistry
  • North Carolina Dental Society

To schedule your consultation, contact our Charlotte office online or call us at (704) 364-9000.

Contact Us Today

Rate, Review & Explore

Social Accounts Sprite